
Glyphosate exposure is silently fueling the rise of chronic diseases, gut health issues, and immune system dysfunction. Discover how this widely used herbicide disrupts the gut microbiome, weakens intestinal barriers,...

Glyphosate, the most widely used herbicide, damages soil health by disrupting beneficial microbes, blocking the shikimate pathway, and depleting organic matter. Learn how this impacts soil fertility, crop nutrition, and...

Discover how Dr. Zach Bush explores the power of reconnecting with nature to help your body restore and regain balance, even in the face of modern health challenges. Learn simple,...

From the surprising role of gut health to the hidden impact of chronic stress, discover five fascinating facts that will help you better understand and support your body’s natural defenses.

Enhance your wellness with the ION* +Plus Line. Learn how stacking supplements can help boost gut health, immunity, and overall vitality.

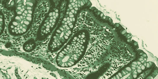
Did you know your gut lining is only one cell thick? Learn why this thin barrier is essential for digestion, immune health, and overall wellness. Discover how ION* can help...
Recent Articles
-
Back to Our Roots: A Brighter, Stronger ION*
-
How Your Gut Barrier Impacts the Way You Age
-
The Hidden Link Between Inflammation and Gut Barrier Health
-
Can Your Gut Protect You from Microplastics? The Overlooked Role of Your Gut Barrier
-
Tired All the Time? Your Gut Barrier May Be to Blame
-
The Gut-Brain Connection: How Your Gut Barrier Affects Mood and Mental Clarity